ACCUEIL
LE CABINET
PLAN D'ACCÈS
URGENCES
VIDÉOS
FICHES CONSEILS
HONORAIRES DU CABINET
CONTACT
Appeler
MENU
Localisation
Cabinet d'Orthodontie du Dr CASTET-MOULAT
Orthodontiste à Sainte-Maxime
ACCUEIL
LE CABINET
PLAN D'ACCÈS
URGENCES
VIDÉOS
FICHES CONSEILS
HONORAIRES DU CABINET
CONTACT
6 Boulevard Aristide Briand
83120
Sainte-maxime
+33 4 94 56 25 01
Cabinet d'Orthodontie du Dr CASTET-MOULAT
Orthodontiste à Sainte-Maxime
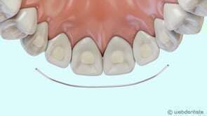
Fil de contention
Vidéos 3D
Partager
Twitter
Partager
Partager
Envoyer
Copier
Cabinet d'Orthodontie du Dr CASTET-MOULAT
6 Boulevard Aristide Briand
83120
Sainte-maxime
+33 4 94 56 25 01
Pour en savoir +
Politique de confidentialité et charte cookie
Mentions légales
Conditions Générales Utilisation
Charte déontologique
Ordre national
Annuaires chirurgiens dentistes
Liens utiles
Honoraires du cabinet
Création par
Connexion